
はじめに
人間は通常、複数の人格を持っている。これは心理学でペルソナと呼ばれ、場面に応じて使い分けられている。例えば、職場での自分と家族との時の自分は異なるだろう。普通は、これらの異なる人格を持ちながらも、自分は一人の人間だという感覚(同一性の感覚)を保っている。
しかし、時にこの同一性の感覚が失われることがある。解離性同一性障害(かつての多重人格障害)では、異なる人格が無意識のうちに入れ替わって現れる。この記事では、解離性同一性障害に関わる脳の構造と機能について詳しく見ていく。
解離性同一性障害とは
解離性同一性障害(DID)の有病率は約1.5%で、精神科の外来患者の2-3%、入院患者の2-5%がこの障害に該当する。しかし、実際に診断されるのはそのうちの6%にすぎない(Calland, 2022)。
主な発症原因は幼少期のトラウマ体験である。これには身体的・精神的・性的虐待、ネグレクト、自然災害や戦争などの経験が含まれる。主な症状は記憶の空白と複数の人格の出現で、各人格は独自の行動パターンと記憶を持つ。
アメリカ精神医学会のDSM-5では、解離性同一性障害の診断基準を次のように定めている:
- 2つ以上の人格状態がみられ、自己感覚と主体性の感覚に大きな断絶がある。
- 日常の出来事や重要な個人情報、トラウマ的出来事に関する記憶に空白がある。
- 症状により著しい苦痛や社会的・職業的機能の低下が生じている。
解離性同一性障害での脳活動の変化
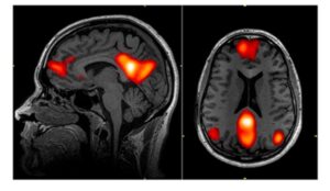
解離性同一性障害では、人格が変わると脳活動も変化することが研究で示されている。
安静時の脳活動を調べた研究では、トラウマに関連した人格では、自己意識に関わる脳領域(背内側前頭前野)と運動・感覚に関わる脳領域(一次運動野、一次感覚野、前補足運動野)の活動が強くなることが分かっている(Schlumpf et al., 2014)。
続けての内容は、以下を連載記事ご参考ください。
Lab Brains | 性格とはなにか? 脳科学から考える「人の性格」






