
はじめに
「私とはなにか?」というのは考えてみれば、なかなか難しい。
私は様々な言葉で定義できる。私は優しい、私は日本人である、私は父親である、私は・・・と延々と続いていくが、こういった一揃いの信念は「アイデンティティ」と呼ばれる。しかし、このアイデンティティは脳科学的にはどのように説明できるのだろうか。またこれは私達の幸せに影響を及ぼすのだろうか。
今回の記事ではこれらの点について深堀りしていみたい。
アイデンティティとは?
アイデンティティの定義は難しい。様々な研究者がそれぞれ異なる定義付けを行っているからだ。この記事ではアイデンティティ理論の提唱者であるエリクソンの考え方をベースとして話を進める。
エリクソンの考え方では、アイデンティティが確立した状態とは、自分が思う自分と社会から認識される自分が一致していることを意味する。
例えば自分をスポーツが得意な人間だと思っていても、大学や実業団に入れば、その自己認識は現実とは一致しないことに気づくことがある。このような時には、自己認識を社会の認識と一致させようとして努力することもあれば、あるいはその努力が実らず自己認識そのものを変えてしまうこともある。
いずれにせよ、長い人生の中で人間は内なる自己と社会的な自己を一致させようとしてもがくことになる。そして、その中でアイデンティティというものが固まっていくと考えられている。
アイデンティティの脳科学
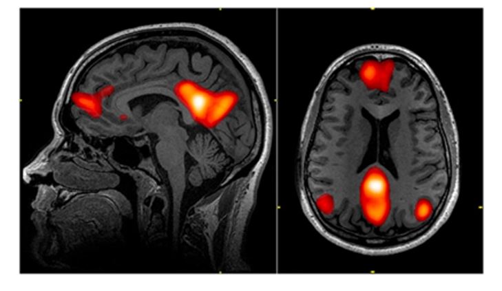
では、このアイデンティティとは脳の中でどのようなものとして処理されるのだろうか。いくつかの研究から、アイデンティティにはデフォルトモードネットワークと呼ばれる脳の仕組みが関わっていることが考えられている。
デフォルトモードネットワークとは、以下の図に示すように、脳の中でも内側領域が中心となって構成されたものである。これらの脳領域は、自分に関連する刺激(自分の名前や自分の故郷)に反応して活動したり、あるいは自分の過去を振り返るような時に活動したりすることが分かっている。

そしでデフォルトモードネットワークの中でも前帯状皮質の前方領域(下図PACC)が特にアイデンティティ認識の中心であると考えられている1)。

またアイデンティティの強さによって脳活動の強さも変化する。
例えば民族的自覚が強い人ほど、他民族の顔を見た時に認識に関わる脳波が強く立ち上がることが報告されている。さらに自分のアイデンティティと重なる人(同じ文化圏の人)が辛い目に合うような時には、共感に関わる脳活動が強く引き起こされることも分かっている2)。
このようにアイデンティティは様々な形で自意識や認識に関わる脳活動を調整しているのである。
アイデンティティと幸福
人生とはアイデンティティを確立していくプロセスである。ではアイデンティティが確立し、アイデンティティに沿った生き方ができれば、人は幸せになれるのだろうか。
ある研究では離職とアイデンティティの関係について調べている。すると人はアイデンティティが満たされないと感じた時に離職しやすいことが分かったのだ。具体的にはアイデンティティに関わる6つの要素が離職を促すことが示されている3)。
1つ目は目的である。いわゆる最近よく聞くパーパスと呼ばれるもので、人生の目的というもべきものが満たされないと離職しやすくなる。
2つ目は表現である。仕事はある意味自分を表現する最高の場でもある。しかし、自分らしさを活かすことが出来ない場合、離職意欲が高まることになる。
3つ目は差別化である。人間には、自分は他人とは違った存在でいたいという気持ちがある。この気持ちはアイデンティティと形作るうえで重要だが、十把一絡げのように扱われる職場では、この感情が満たされず転職を考えるようになる。
4つ目は軌跡である。アイデンティティを確立するためには、自分はどのように生きてきて、これからどのように生きていくのかというストーリが必要になる。同じことの繰り返しばかりで成長が見込めない職場では、成長物語を紡いでいけないことになり離職感情を高めることになる。
5つ目は受容である。これはあるがままの自分を受け入れる気持ちであるが、自分が商品のように扱われるような職場では受容感情が満たさない。
そして6つ目は関係性である。アイデンティティが確立するためにはつながりの感覚が大事になる。それは家族かもしれないし、地域社会かもしれないが、仕事によってこれらの感覚が損なわれれば、やはり離職感情を高めることになる。
またこれとは別の研究では、アイデンティティが満たされるような人間関係が多いほど、健康であることが示されている4)。アイデンティティが満たされるというところが肝で、いくら人間関係が多くても、アイデンティティが満たされないものであれば健康に益するところがないというのだ。
このように幸せに生きるためには、アイデンティティを満たせる関係性の中に身を置くことが大事なようである。
まとめ
このようにアイデンティティと幸せは密接に関連しているようである。総じていうなら、自分が自分らしく社会の中で生きられるとき、人は幸せを感じられるのだろう。
自分らしさとはなんだろうか。これはおそらくノミで削るように否定の経験からしか生まれないのかとも思う。私は運動が得意ではない、私は集団行動が得意ではない、私は研究者としての資質はない、・・・ない、と削って、削って残った何かがおそらく「自分らしさ」と呼ばれるものではないだろうか。挑戦はアイデンティティを形作る上で重要である。しかし、挑戦が与える価値の本質は「ない」の獲得にあると考えるのはひねくれすぎているだろうか。
生きられる時間は少ない。今日もノミを振るって自分のアイデンティティを掘り出して行こうと思う。
【参考文献】
- Qin, P., & Northoff, G. (2011). How is our self related to midline regions and the default-mode network?. Neuroimage, 57(3), 1221-1233. https://doi.org/10.1016/j.neuroimage.2011.05.028
- Scheepers, D., & Derks, B. (2016). Revisiting social identity theory from a neuroscience perspective. Current Opinion in Psychology, 11, 74–78. https://doi.org/10.1016/j.copsyc.2016.06.006
- Rothausen, T. J., Henderson, K. E., Arnold, J. K., & Malshe, A. (2017). Should I stay or should I go? Identity and well-being in sensemaking about retention and turnover. Journal of Management, 43(7), 2357–2385. https://doi.org/10.1177/0149206315569312
- Jetten, J., Haslam, C., Haslam, S. A., Dingle, G., & Jones, J. M. (2014). How groups affect our health and well‐being: The path from theory to policy. Social issues and policy review, 8(1), 103-130. https://psycnet.apa.org/doi/10.1111/sipr.12003






