
はじめに
心とは一体どのようなものなのだろうか。
無論、心がない人間はいない。スマートフォンやパソコンと違って、私達の脳には心が宿る。例えば、今あなたはこの文章を読んでいる。目には文字が飛び込み、文字は脳内で音声化され、その音声は様々な記憶と紐づいて何かしらの意味を持つ。その立ち上がった意味でもって「ふむふむ」という心を持つ人もいれば、「なんだコイツ」という心を持つ人もいるだろう。その意味で言えば、心とは意味を作り上げる仕組みとも捉えることができる。
近年、脳の中には、心と関わる仕組みがあることが分かってきている。今回の記事ではその仕組みについて深堀りしてみたい。
デフォルトモードネットワークとは?
脳には様々な仕組みがある。体を動かすための仕組みやものを見るための仕組み、何かを考えるための仕組みなどだ。実はこれらに加えて脳の中にはぼんやりするための仕組みもある。
ぼんやりしている時間はバカにはできない。一説によると、起きている時間の内、8割近くはぼんやりとしているとも言われている。そして、このぼんやりとすることに関わっているのが、デフォルトモードネットワークと呼ばれる仕組みである。

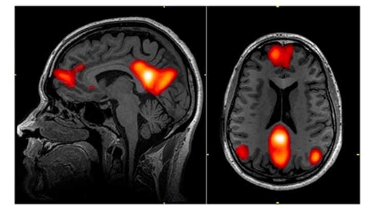
このデフォルトモードネットワークは、上の図にあるように、いくつかの脳領域が組み合わさってできている。
主な部分としては前頭前野の内側(内側前頭前野)と頭頂葉の内側(後帯状皮質・楔前部)、さらには頭頂葉外側の下半分(下頭頂小葉)だ。これらの領域が活動することで私達はぼんやりとすることができる。
デフォルトモードネットワークの機能
人間は結構な時間ぼんやりしているが、この「ぼんやり」にはいくつかの種類がある。
1つ目は自己認識である。人はよほどのことがない限り、自分は自分だという感覚を持っている。
続きについては以下のリンクよりお読み頂けます。
Lab Brains | デフォルトモードネットワークの脳科学 「こころ」を司る仕組みについて







