
目次
なぜあなたの脳は物語を理解できるのか?
地球上には無数の種類の生き物がいますが、人というのは一風変わっています。
言葉を使えるというのはもちろんですが、ヒトはそれに加えて「物語」を語る動物でもあります。
そして、この語るという行為は単に言葉を並べるということではありません。
「語る」というのは、一定の構造を持って、何らかの意図を持って、一つの大きな構図を言葉でもって示すことです。
こういった芸当ができるのは地球上でもヒトだけだとおもうのですが、
こういった物語能力の基盤となっているのは脳のどのような仕組みなのでしょうか。
この記事では、ヒトと物語、脳の関係について解説をします。
そもそも物語とはなにか?
私達は物語が大好きです。
小さい頃は「昔々、あるところに・・」のような物語を好み、
思春期に上がる頃は、「友情、努力、勝利」のストーリーに酔い、
働き始めては、成功者の物語を読んでは真似をしようとし、
人生を終えようとするときには、終活よろしく自分の物語をいい感じに編集し直したりもします。
しかしながら、この物語というのはそもそもどのようなものなのでしょうか?
物語に限らず、私達は何かを理解したり認識するためには大きな枠組みというものを使います。
これは物語であれば起承転結という枠組み、
身体の認識であれば、胴体に然るべき配置で手足と頭がくっついているという枠組み、
営業であれば、名刺交換から商談開始までの一連の流れ、
こういった大きな枠組みでの認識は心理学ではスキーマと呼ばれます。
私達はこのスキーマを獲得することで、色んなものを簡単に認識し、迅速に状況に対応できるようになります。
引用:「3分で読める知育マガジン Chiiku! ピアジェの4つの発達段階とは?育児に役立つ子どもの発達理論」
ボールペンのような物品にしろ、営業マンのようなキャラクターにしろ、あるいは昔話のような物語にしろ、
それらはある種の共通する形を持った「スキーマ」として認識されるのですが、はたしてこのスキーマというのは、脳のどのへんで構成されるのでしょうか。
スキーマに関わる脳活動
脳科学の研究方法にはいろいろなものがありますが、その中の一つにメタアナリシスというものがあります。
これは同じテーマでなされた様々な研究のデータをひとまとめにして、もう一度調べるような方法なのですが、
スキーマの獲得に関係する脳活動についてもメタアナリシスがなされた研究が一つあります。
下の図は、スキーマの獲得に関わる脳領域について図示したものですが、
引用:Gilboa A, Marlatte H. Neurobiology of Schemas and Schema-Mediated Memory. Trends Cogn Sci. 2017;21(8):618-631. doi:10.1016/j.tics.2017.04.013
脳の中でも、意味処理に関わる側頭葉の前部領域、様々な感覚情報の統合に関わる頭頂葉の角回、意思決定に関わる腹側内側前頭前野がスキーマの獲得に関わっていることが示されています。
側頭葉というのは意味処理に関わる領域なのですが、

側頭葉でも前に方に行けば行くほど、抽象度の高い意味情報(例えば、愛や正義、悪などの意味)の処理に関わるとされています。
スキーマの理解に際しては、この深い意味を処理する側頭葉の前の方の領域が活動することが示されています。
また頭頂葉は一般に様々な感覚情報がまとめられる領域なのですが、その頭頂葉の中でも角回というのは情報統合のまとめ役的なポジションにおり

やはりスキーマという抽象度の高い情報を認識するときに活動することが示されています。
また前頭前野も様々な情報が取りまとめられる領域ではあるのですが、その中でも右脳と左脳がくっつく脳の内側面にある腹側内側前頭前野は、情動に関わる情報と理知的な情報を取りまとめるような場所に位置しています。

このように脳の様々な領域の中枢に当たる場所が、スキーマの理解に関わっていることが示されています。
では物語というのも起承転結のような構造を持った一つのスキーマなのですが、物語の理解に関わる脳活動とはどのようなものなのでしょうか?
物語理解の脳活動
さて物語の理解に関わる脳活動ですが、はたしてこれはどのような実験方法で確かめることができるのでしょうか。
ある研究では、被験者にシャーロック・ホームズのドラマを50分間見せ、その時の脳活動について調べています。
一般に物語というのは階層構造になっていて、細かいエピソードが積み重なって、一つの大きなエピソードになり、その大きなエピソードが積み重なって、さらに大きなエピソードを形作っています。
この研究の結果を述べると、認識の対象となるエピソードが大きければ大きいほど、脳の中でもデフォルトモードネットワークと呼ばれる領域の活動が高まることが示されていますが、これはどのようなネットワークなのでしょうか。
引用:Baldassano C, Chen J, Zadbood A, Pillow JW, Hasson U, Norman KA. Discovering Event Structure in Continuous Narrative Perception and Memory. Neuron. 2017;95(3):709-721.e5. doi:10.1016/j.neuron.2017.06.041
デフォルトモードネットワークとは?
デフォルトモードネットワークというのは、文字通りデフォルト(何もしてない普通の状態)で活動している脳の領域であり、具体的には左脳と右脳がくっつく脳の広い領域が含まれます。

この領域はボーッとしているときや、痛みを感じている時、昔のことや未来のことを考えているときに活動してることが報告されています。
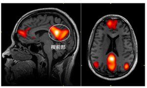
このデフォルトモードネットワークの中でも後ろの方にある楔前部と呼ばれる領域は、脳の広範な領域とつながっており、様々な情報を集約していると考えられています。
引用:Margulies DS, Vincent JL, Kelly C, et al. Precuneus shares intrinsic functional architecture in humans and monkeys. Proc Natl Acad Sci U S A. 2009;106(47):20069-20074. doi:10.1073/pnas.0905314106
しかしながら、他の研究では必ずしもこの楔前部のすべてが物語の認知に必要ではないと主張しているものもあります。
では楔前部の中でも特に重要なのは一体どのへんなのでしょうか。
楔前部の活動は物語の内容を反映する?
私達は物語を見たり聞いたりするときには、その物語というのはいろんな細かい話のつながりからできています。
それは戦いの場面であったり食事の場面であったり様々ですが、そもそも考えてみれば戦いも食事も二人の人間が向き合っているという物理的な構造は一緒です。
果たして私達の脳はこの戦いのシーンと食事のシーンを意味論的に分けてコードしているのでしょうか。
ある研究では、被験者に様々なシーンからなる動画を見せて、その動画の様々なシーンを見たり思い出しているときの脳活動を比較しています。
結果を述べると、脳の中でも楔前部のある領域はシーンの内容を反映しており、これは被験者が違っても同じような活動を示したこと、また場合によっては見ている時と思いだしている時でも同じような活動を示したことが述べられています。
引用:Chen J, Leong YC, Honey CJ, Yong CH, Norman KA, Hasson U. Shared memories reveal shared structure in neural activity across individuals. Nat Neurosci. 2017;20(1):115-125. doi:10.1038/nn.4450
このような実験結果を見ると、果たして夢の内容も楔前部の脳活動を見れば分かるのかと思ったりもしますが、、このような物語認識に関わる脳活動は楔前部だけではありません。
はたして脳全体を見た場合、物語認識はどのような領域が関わってくるのでしょうか。
物語理解のネットワーク解析
最後に取り上げるのが、被験者に単純な物語を提示して、その脳活動をネットワーク解析したものになります。
脳というのはサッカーのチームプレイのように、様々な領域が協力しあって活動しています。
このように一緒に活動している領域は一つのネットワークとして一括にして何らかの機能を担っていると考えることができますが、
この研究では物語を認識に関わる脳内ネットワークとはどのようなものかということを調べています。
実験では被験者に2つの組み合わせからできた単純な物語を見せ、その時の脳活動を調べています。
その組み合わせですが、
1 一致性の高い物語(LC)(「女の子が森に行った」→「狼に出会った」)
2 一致性の低い物語(HC)(「女の子が森に行った」→「経済学者とディスカッションした」)
3 非物語(NC) (数字をカウントする作業をする→「狼に出会った」)
の3種類であり、1と2は物語として認識できますが、2では一致性が低いため、物語のフレームを変えるという認知的な負荷が働きます。
さて結果を述べると、脳の中のネットワークでも言葉や意味処理に関わるネットワーク(下図上:Semantic Language Network)が物語の認識に重要で、このネットワークをエグゼクティブネットワーク(下図下:Executive Control Network)と呼ばれる高次のシステムがサポートしていることが示されています。
引用:Branzi FM, Humphreys GF, Hoffman P, Lambon Ralph MA. Revealing the neural networks that extract conceptual gestalts from continuously evolving or changing semantic contexts [published online ahead of print, 2020 Apr 10]. Neuroimage. 2020;220:116802. doi:10.1016/j.neuroimage.2020.116802
ちなみにこのエグゼクティブネットワークとは前頭葉の中でも高次の領域である前頭前野と、頭頂葉の中でも角回を含む高次の情報処理に関わる下頭頂小葉を結ぶようなネットワークで、
テニスにしろ、計算にしろ、頭と身体の働きを最適化して集中して取り組むときに働くネットワークになっています。

この2つのネットワークを見ると、従来デフォルトモードネットワークで捉えられいた部分の一部分が物語の認識に関わっていること、具体的には楔前部の一部分、また意思決定に関わる腹側内側前頭前野が関わっていることがわかります。
まとめ
このように物語の理解に際しては脳の様々な領域が働いていますが、
その中でもスキーマという抽象的な情報処理に関わる領域(側頭葉前部領域や角回)、
ヒトの「心」を反映するデフォルトモードネットワーク(腹側内側前頭前野や楔前部の一部)、
言語に関わる領域(前頭前野のブローカ野や側頭葉のウェルニッケ野)、
さらには認知機能の統合幕僚長のようなエグゼクティブネットワーク(前頭前野や頭頂小葉)
など、脳の高次機能のオンパレードといった趣があります。
就学前の3歳、4歳、5歳の子供というのは絵本を好みますが、これは高次の認知機能を発達させようとする生物学的な衝動なのかなと思いました。
脳科学に関するリサーチ・コンサルティングを承っております。
子育てや臨床業務で時間のない研究者の方、
マーケティングに必要なエビデンスを探している方、
数万円からの価格で資料収集・レポート作成をいたします!
ご興味のある方は以下よりどうぞ!
エラー: コンタクトフォームが見つかりません。
参考文献












